厦门大学医学院心血管病研究所ACS Nano:生物酶马达驱动的工程化中性粒细胞“微型机器人”提高溶栓疗法疗效与安全性
【背景介绍】
当前,溶栓药物半衰期短、出血风险高,停药后血栓易于再次形成。幸运的是,智能性药物输送提供了极具潜力的解决策略,可以提高溶栓疗法的疗效和安全性。根据疾病特征选择天然细胞作为相关药物载体,具有纳米尺度无法比拟的高生物相容性与特异性。多种活细胞已被开发成药物载体,包括干细胞、单核细胞、个巨噬细胞、T细胞、中性粒细胞、血小板和癌细胞等。其中,中性粒细胞(NEs)可受炎症刺激产生细胞形变,响应性的释放出内含物,在活细胞递药系统中展示了优秀的药物智能控释能力。然而大量存在的内源性中性粒细胞干扰可导致递药效率被显著降低,因此,对中性粒细胞进行适当的工程化改造以增进其智能递药效率极其必要。
【成果简介】
基于以上研究背景,厦门大学附属心血管病医院/厦门大学医学院心血管病研究所桑芒芒、郑锦荣等人在ACS Nano上发表文章,提出利用尿素酶作为生物微马达工程化修饰中性粒细胞以提高其机动性能的设想,工程化改造的中性粒细胞微型“机器人”携带纳米溶栓药物可促进血栓溶解、减少出血副作用并抑制血栓再形成。通过多聚赖氨酸包被板吸附并掩盖一半细胞膜,在亲和素/链霉亲和素特异性结合的作用下,将尿素酶不对称地固定在天然NEs的表面,活细胞状态装载经尿激酶包被的Ag纳米(Ag-UK),从而制备UM-NEs(Ag-UK)系统。尿素酶催化内源性尿素生成氨气和二氧化碳,产生推力,推动NEs前进。血管损伤后,在损伤部位形成血栓,伴随炎症反应和随后的白细胞募集,而静脉注射的UM-NEs(Ag-UK)在趋化因子作用下,经由尿素酶马达驱动,向血栓部位前进。UM-NEs(Ag-UK)在血栓部位被激活产生中性粒细胞胞外诱捕网,从而导致Ag-UK的释放,Ag-UK诱导溶栓以恢复血管再通。体内外评价结果证实,该UM-NEs(Ag-UK)系统具有较高的生物相容性和较长的循环时间,可显著提高溶栓药物的生物利用度,可用于治疗持续性血栓形成相关疾病。
【图文导读】
图1.NEs和UM-NEs的制备和表征。(A)Wright Giemsa染色观察NEs形态;(B)透射电镜观察NEs的形态;(C)流式细胞术分析NEs纯度;(D)DAPI和 绿色核酸染料标记NEs;(E)Lyso tracker Red和DAPI染料标记NEs;(F)UM-NEs的合成路线。(G)UM-Cy5修饰后细胞成像;(H)流式细胞术检测UM-Cy5;(I) 细胞蛋白质组的银染分析;(J)观察气泡推进UM-NEs。(K)CO2和NH3生成。
图2.UM-NEs(Ag-UK)体系的制备和表征。(A)Ag-UK纳米颗粒的合成方法;(B)b1:羧酸银纳米颗粒的TEM图;b2:Ag-UK纳米颗粒的TEM图像;b3:Ag-UK纳米颗粒的SEM图像;(C)Ag-UK纳米颗粒的动态光散射数据和zeta数据;(D) Ag-UK纳米颗粒稳定性及酶活性;(E)不同组别酶活对比;(F-G)Ag-UK-Cy5的UM-NEs摄取;(H)流式细胞术检测UM-NEs(Ag-UK-Cy5.5);(I)用透射电镜观察了UM-NEs(Ag-UK)体系的形貌;(J)不同组的蛋白质浓度。
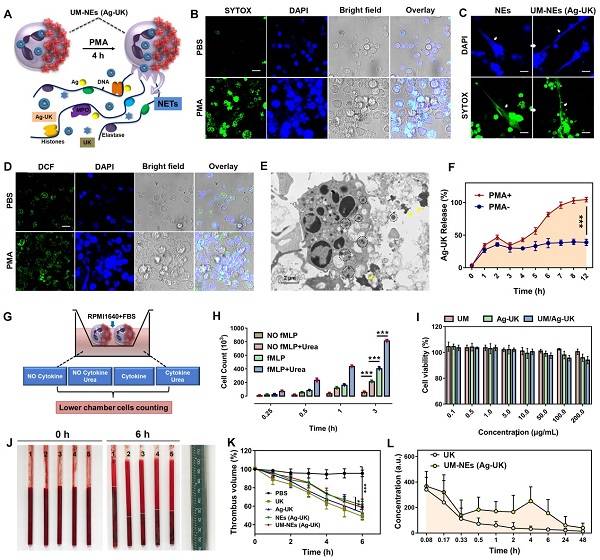
图3.UM-NEs(Ag-UK)的功能测试。(A)UM-NEs(Ag-UK)药物释放示意图;(B,C)UM-NEs(Ag-UK)中性粒细胞形变能力评估;(D)ROS生成;(E)TEM观察UM-NEs(Ag-UK)细胞形变与释药;(F)Ag-UK释放效率;(G)使用Transwell系统评估UM-NEs(Ag-UK)的炎症靶向能力示意图;(H)不同组别的细胞迁移计数;(J-K)UM-NEs(Ag-UK)体外溶栓效果;(L)48小时内的药代动力学研究。
图4.动脉血栓模型构建。(A-B) 颈动脉血栓模型构建示意图;(C)观察小鼠颈动脉血栓形成过程。(D-E)超声分析颈动脉血流灌注情况;(F)下肢动脉血栓模型构建示意图;(G)观察小鼠下肢动脉血栓形成过程;(H)激光散斑血流监测系统(LSBFMS)分析下肢动脉血流;(I-J)血栓模型和对照组血管的H-E和Masson染色图。
图5.UM-NEs(Ag-UK)体内血栓靶向性评估。(A-C)血栓形成后血管中炎症因子水平的变化;(D-F)血栓形成后血液中炎症因子水平的变化;(G-H)颈动脉血栓靶向性;(I)颈动脉血栓部位的UM-NEs(Ag-UK)分布;(J-K)下肢动脉血栓靶向评估。
图6.UM-NEs(Ag-UK)体内溶栓效果研究。(A-B)使用多普勒超声评估溶栓治疗的血流情况;(C)颈动脉血栓部位H-E染色分析;(D-H)激光散斑血流监测系统分析小鼠溶栓治疗的血液灌注情况。
【小结】
综上所述,此项研究报道了一种尿素酶马达驱动的中性粒细胞给药系统UM-NEs(Ag-UK),用于携带溶栓药物主动靶向血栓部位,通过细胞形变释放药物,从而有效治疗血栓。研究表明NEs具有天然的血栓靶向性,可被用作药物载体,NEs通过炎症趋化作用靶向血栓,在血栓部位发生细胞形变从而释放出细胞内含物。尿素酶可作为生物马达对NEs进行工程化改造,尿素酶催化内源性尿素生成氨和二氧化碳,产生推力,推动NEs快速靶向血栓。实验结果表明,UM-NEs(Ag-UK)系统能快速靶向血栓部位,提供快速溶栓效果,在体内显示出长循环能力,可用于治疗持续性血管壁损伤引起的血栓性疾病。该给药系统具有良好的生物相容性,能显著提高溶栓药物的生物利用度,有望用于临床血栓性疾病的治疗。
文章信息:
第一作者:郑锦荣
通讯作者:桑芒芒
Jinrong Zheng,et al. Enzyme Catalysis Biomotor Engineering of Neutrophils for Nanodrug Delivery and Cell-Based Thrombolytic Therapy[J].ACS Nano. 2022. doi: 10.1021/acsnano.1c08538.
https://pubs.acs.org/doi/10.1021/acsnano.1c08538










文章评论(0)